Home

In onze moderne gedigitaliseerde tandartspraktijk in Zingem bent u als patient met alle voorkomende tandheelkundige problemen en vragen van harte welkom.

De gezondheid van uw gebit houdt namelijk direct verband met uw algemene gezondheid.

Naast conserverende tandheelkunde zoals tandkleurige vullingen ook kronen, bruggen, kunstgebitten en implantologie.

We gebruiken veelvuldig biocompatibele glasvullingen. Die cementen hebben een tandgelijke kwaliteit en kunnen het tandweefsel aktief versterken en mineraliseren.

Praktijk

Facetten

We moeten de esthetiek steeds op een verstandige en realistische wijze benaderen. Al te vaak zien we mensen met ‘schokkend’ witte tanden, zoals bij het Glamsmile-systeem. We moeten altijd het karakter behouden en de karikatuur vermijden.
Klik op 1 van de onderstaande cases voor meer info en de resultaten.

Valerie
Valerie Facetten

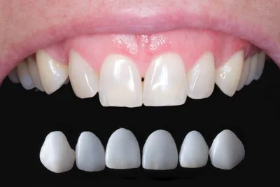
Met 6 facings en minimaal beslijpen zorgden we for een perfecte tandboog, tandvo ...

Leer meer
Irene
Irene Facetten

Bij de 23-jarige Irene hebben we hier met 4 facings haar glimlach opgefrist en t ...

Leer meer
Karl
Karl Facetten

Zwaar gevulde snijtanden die ook niet mooi in de tandboog staan. ...

Leer meer
Margot
Margot Facetten

Margot is zwaar gevallen met de fiets. Ze heeft een schouderfractuur, een hersen ...

Leer meer
Mathilde
Mathilde Facetten

De 53-jarige Mathilde heeft bruin-gevlekte bovensnijtanden die ook niet mooi in ...

Leer meer

Contact

Er worden momenteel tijdelijk geen nieuwe patiënten meer aanvaard, om de wachttijd binnen de perken te houden voor de bestaande patiënten.

U kan gemakkelijk online een afspraak vastleggen via volgende tool:

Afspraak maken

Natuurlijk is het ook nog steeds mogelijk een afspraak te maken via mail of telefoon.
Als u het antwoordapparaat inspreekt, wordt u zo spoedig mogelijk teruggebeld.